Η τεχνητή οδοντοστοιχία του ήταν σφηνωμένη στον λάρυγγά του για... οκτώ μέρες χωρίς να το γνωρίζει

Η τεχνητή οδοντοστοιχία του ήταν σφηνωμένη στον λάρυγγά του για... οκτώ μέρες χωρίς να το γνωρίζει

Ένα απίστευτο ιατρικό περιστατικό φέρνει στο φως μια έκθεση που δημοσιεύτηκε την Δευτέρα στο ιατρικό περιοδικό British Medical Journal

Η τεχνητή οδοντοστοιχία του ήταν σφηνωμένη στον λάρυγγά του για... οκτώ μέρες χωρίς να το γνωρίζει
Ένα απίστευτο ιατρικό περιστατικό φέρνει στο φως μια έκθεση που δημοσιεύτηκε την Δευτέρα στο ιατρικό περιοδικό British Medical Journal.

Όπως αναφέρει σε δημοσίευμά του το CNN, η έκθεση αφορά σε έναν 72χρονο άνδρα, η μερική τεχνητή οδοντοστοιχία του οποίου «σφήνωσε» στον λαιμό του κατά τη διάρκεια χειρουργικής επέμβασης και ανακαλύφθηκε από τους γιατρούς... οκτώ μέρες μετά!

Ο άνδρας, του οποίου το όνομα φυσικά δεν αναφέρεται στην έκθεση, υποβλήθηκε σε επέμβαση για να αφαιρεθεί ένας καλοήθης όγκος από το κοιλιακό του τοίχωμα. Ωστόσο η χειρουργική ομάδα που διενήργησε την επέμβαση παρέλειψε να του ζητήσει να αφαιρέσει την τεχνητή οδοντοστοιχία του πριν από τη γενική αναισθησία.

Μετά την επιτυχή ολοκλήρωση της επέμβασης, ο άνδρας πήγε σπίτι του. Έξι μέρες αργότερα, επέστρεψε στο νοσοκομείο, παραπονούμενος ότι είχε δυσκολία να αναπνεύσει και να καταπιεί, και ότι είχε συνεχώς μια μεταλλική γεύση αίματος στο στόμα του.

Κατά την πρώτη επίσκεψη του άνδρα στα επείγοντα, οι γιατροί απέτυχαν να διαγνώσουν το πρόβλημα και έστειλαν τον 72χρονο σπίτι του με μια συνταγή αντιβιοτικών, στεροειδών και στοματικού διαλύματος.

Η τεχνητή οδοντοστοιχία του ήταν σφηνωμένη στον λάρυγγά του για... οκτώ μέρες χωρίς να το γνωρίζει


Όπως είναι φυσικό, τα συμπτώματα του επιδεινώθηκαν το επόμενο διήμερο, αφού η φαρμακευτική αγωγή δεν μπορούσε να αντιμετωπίσει το πραγματικό πρόβλημα, δηλ. την τεχνητή οδοντοστοιχία που είχε σφηνώσει στον λάρυγγά του. Οκτώ μέρες μετά το αρχικό χειρουργείο, ο άνδρας εισήχθη ξανά στο νοσοκομείο με συμπτώματα πνευμονίας από εισρόφηση, μια σοβαρή μόλυνση στο στήθος.

Κλείσιμο
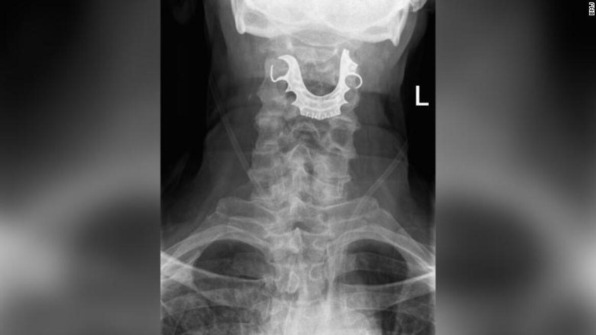
Τελικά, μέσω μιας διαγνωστικής διαδικασίας οι γιατροί εντόπισαν το ημικυκλικό αντικείμενο σφηνωμένο πάνω στις φωνητικές χορδές του άνδρα, που είχε προκαλέσει εσωτερικές φουσκάλες και πρήξιμο.

Ο 72χρονος, που είχε χάσει την μερική οδοντοστοιχία κατά την πρώτη του επίσκεψη στο νοσοκομείο αλλά δεν είχε φανταστεί ότι αυτή βρισκόταν στον... λαιμό του, εισήχθη εσπευσμένα στο χειρουργείο για την αφαίρεση της μερικής οδοντοστοιχίας, που αποτελούνταν από το μεταλλικό πλαίσιο που εφαρμόζει στην οροφή του στόματος και τρία τεχνητά δόντια.

Αξίζει να σημειωθεί ότι ο ασθενής συνέχισε να εμφανίζει επιπλοκές από την «περιπέτειά» του για τον επόμενο μήνα, προτού τελικά αναρρώσει πλήρως.

Οι συντάκτες της έκθεσης με επικεφαλής την Δρ. Harriet Cunniffe από το James Paget Hospital της ανατολικής Αγγλίας, καλούν τους χειρουργούς να διασφαλίζουν ότι οι ασθενείς που υποβάλλονται σε επεμβάσεις έχουν αφαιρέσει προηγουμένως την τεχνητή οδοντοστοιχία τους, αφού υπάρχει μεγάλος κίνδυνος κατάποσης ή εισρόφησής της.
Ακολουθήστε το protothema.gr στο Google News και μάθετε πρώτοι όλες τις ειδήσεις

Δείτε όλες τις τελευταίες Ειδήσεις από την Ελλάδα και τον Κόσμο, τη στιγμή που συμβαίνουν, στο Protothema.gr

ΡΟΗ ΕΙΔΗΣΕΩΝ

Ειδήσεις Δημοφιλή Σχολιασμένα
δειτε ολες τις ειδησεις

ΤΑ ΠΙΟ ΔΗΜΟΦΙΛΗ

Best of Network

Δείτε Επίσης