Κρήτη: Τρίχρονη κατάπιε βίδα που κατέληξε στον πνεύμονά της - Δείτε τις σοκαριστικές ακτινογραφίες

Κρήτη: Τρίχρονη κατάπιε βίδα που κατέληξε στον πνεύμονά της - Δείτε τις σοκαριστικές ακτινογραφίες

Οι γιατροί οδήγησαν το κορίτσι στο χειρουργείο και μετά από αρκετή ώρα κατάφεραν να αφαιρέσουν την βίδα

Κρήτη: Τρίχρονη κατάπιε βίδα που κατέληξε στον πνεύμονά της - Δείτε τις σοκαριστικές ακτινογραφίες
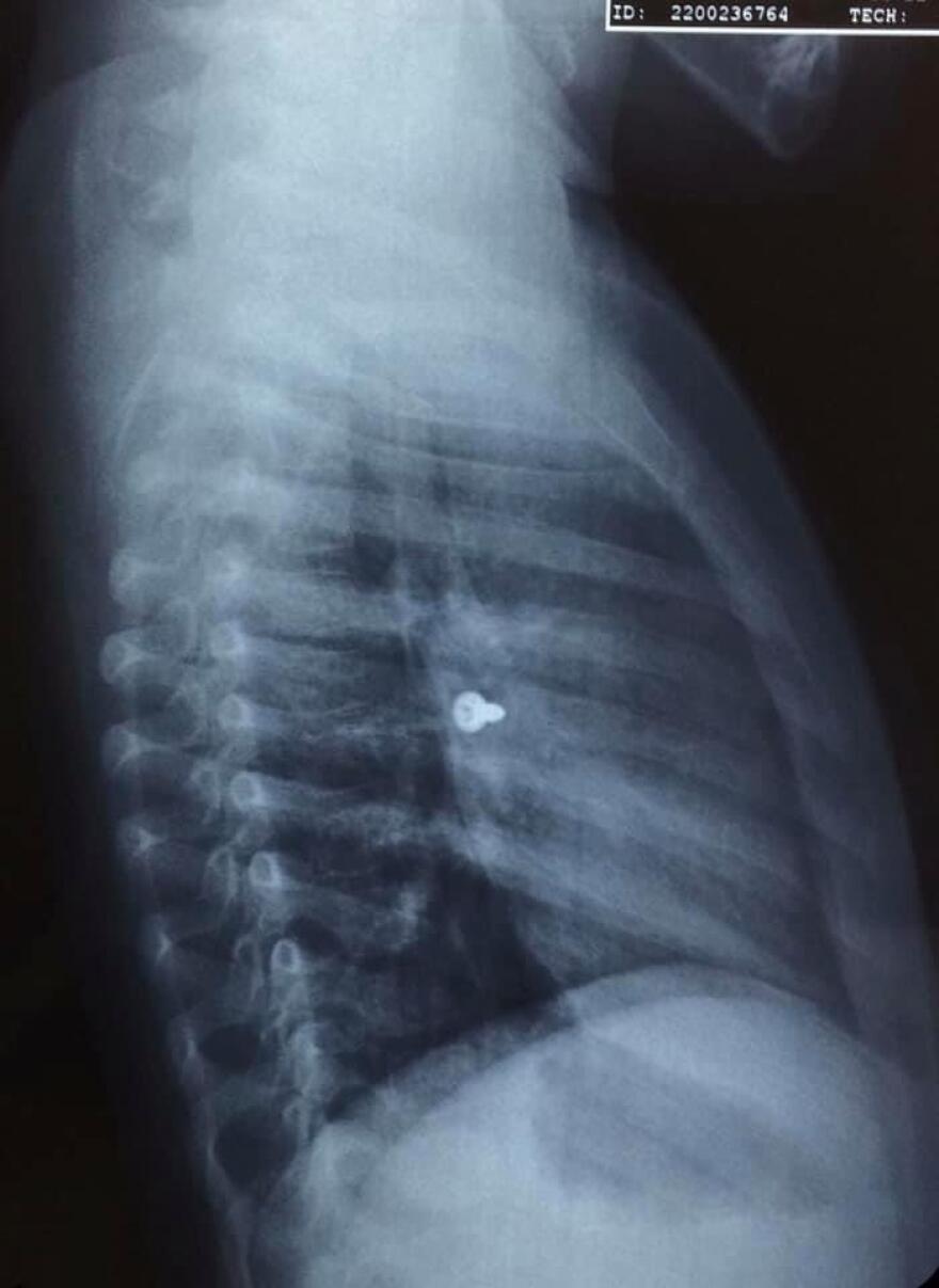
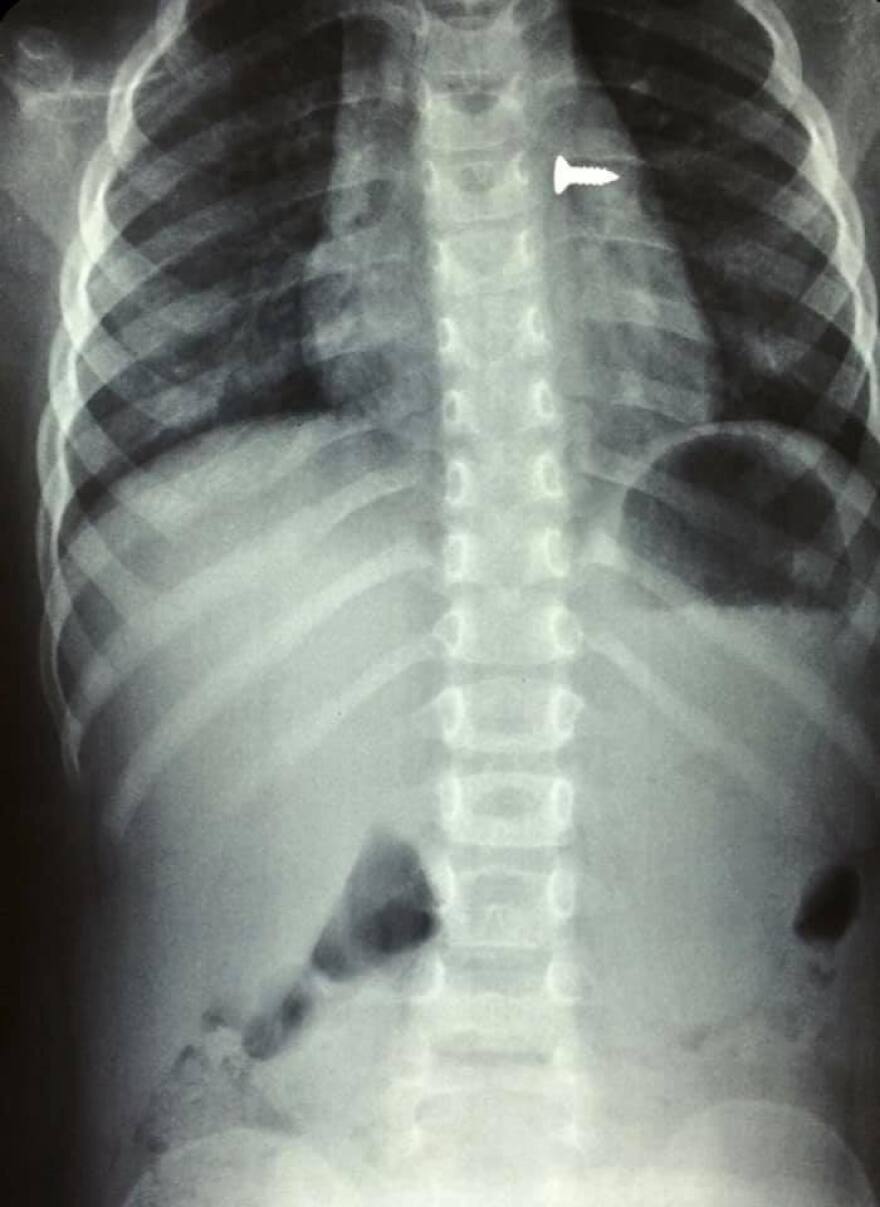
Σοκάρουν οι ακτινογραφίες από ένα κοριτσάκι στην Κρήτη που κατάπιε βίδα, η οποία κατέληξε στον αριστερό του πνεύμονα.

Σύμφωνα με τα όσα έκανε γνωστά ο αναπληρωτής καθηγητής ΩΡΛ της Ιατρικής Σχολής Κρήτης, Μανώλης Προκοπάκης, την Τρίτη μεταφέρθηκε σε νοσοκομείο του Ηρακλείου ένα τρίχρονο κορίτσι το οποίο κατάπιε μία βίδα.

Αμέσως έβγαλε ακτινογραφίες, που έδειξαν πως η βίδα βρισκόταν στον αριστερό του πνεύμονα.

Κρήτη: Τρίχρονη κατάπιε βίδα που κατέληξε στον πνεύμονά της - Δείτε τις σοκαριστικές ακτινογραφίες
Κρήτη: Τρίχρονη κατάπιε βίδα που κατέληξε στον πνεύμονά της - Δείτε τις σοκαριστικές ακτινογραφίες


Οι γιατροί οδήγησαν το κορίτσι στο χειρουργείο και μετά από αρκετή ώρα κατάφεραν να αφαιρέσουν την βίδα.

Ο κ. Προκοπάκης σε ανάρτησή του στα social media ανέφερε: «Πολύ επείγον χειρουργείο! Πριν από λίγο. Αφαίρεση βίδας από αριστερό βρογχικό δέντρο τρίχρονου κοριτσιού. Πολύ επικίνδυνο…».

Κλείσιμο


Πηγή: Cretapost

Ειδήσεις σήμερα: 

Το σχέδιο για το «άνοιγμα» της αγοράς - Προτεραιότητα στα εποχικά καταστήματα

Δεκάδες κρούσματα κορωνοϊού σε στρατόπεδο της Πολεμικής Αεροπορίας

Θρήνος στην Κέρκυρα για τον 14χρονο Σπύρο που «έσβησε» στην άσφαλτο
Ακολουθήστε το protothema.gr στο Google News και μάθετε πρώτοι όλες τις ειδήσεις

Δείτε όλες τις τελευταίες Ειδήσεις από την Ελλάδα και τον Κόσμο, τη στιγμή που συμβαίνουν, στο Protothema.gr

ΡΟΗ ΕΙΔΗΣΕΩΝ

Ειδήσεις Δημοφιλή Σχολιασμένα
δειτε ολες τις ειδησεις

ΤΑ ΠΙΟ ΔΗΜΟΦΙΛΗ

Δείτε Επίσης