Τζάνειο νοσοκομείο: Νέα μέθοδος για την αντιμετώπιση συντριπτικών καταγμάτων της επιγονατίδας

Τζάνειο νοσοκομείο: Νέα μέθοδος για την αντιμετώπιση συντριπτικών καταγμάτων της επιγονατίδας

Η επέμβαση διενεργήθηκε με επιτυχία και για πρώτη φορά στην Ελλάδα στο νοσοκομείο του Πειραιά από τους ορθοπαιδικούς χειρουργούς Άννα Λεντή και Δημήτρη Σαμαρά

Τζάνειο νοσοκομείο: Νέα μέθοδος για την αντιμετώπιση συντριπτικών καταγμάτων της επιγονατίδας
Τα κατάγματα αποτελούν αποτελέσματα τραυματισμών υψηλής βίας και συχνά συνοδεύοντα από μεγάλη συντριβή και οστικά ελλείμματα.

Σε αυτές τις περιπτώσεις καλείται ο χειρουργός να αποκαταστήσει την λειτουργικότητα του άκρου που φέρει το κάταγμα έτσι ώστε ο ασθενης να επανέλθει στις καθημερινές του δραστηριότητες το γρηγορότερο δυνατόν.

Ένα τέτοιο κάταγμα είναι και αυτό της επιγονατίδας , ένα οστό στην πρόσθια επιφάνεια του γόνατος η ακεραιότητα του οποίου είναι καθοριστική για την λειτουργικότητα του άκρου και την φυσιολογική βάδιση.

Η επέμβαση που διενεργήθηκε με επιτυχία και για πρώτη φορά στην Ελλάδα στο νοσοκομείο του Πειραιά από τους ορθοπαιδικούς χειρουργούς Άννα Λεντή και Δημήτρη Σαμαρά, αφορούσε ένα κάταγμα επιγονατίδας με μεγάλη συντριβή σε ένα νέο άτομο και πιο συγκεκριμένα η ιδιαιτερότητα της μεθόδου αφορούσε στην χρήση τριών μόνο ατσάλινων συρμάτων.

Τζάνειο νοσοκομείο: Νέα μέθοδος για την αντιμετώπιση συντριπτικών καταγμάτων της επιγονατίδας
Η ορθοπαιδικός χειρουργός Άννα Λεντή


Η χρήση αυτών των συρμάτων με την μέθοδο αυτή ονομάζεται τεχνική «συρμάτινου πλεγματος» έχει μοναδικό πλεονέκτημα ότι δεν διαταράσσεται η αιμάτωσης των οστικών τεμαχίων και ως εκ τούτου αυξάνει την πιθανότητα να «κολλήσει» το κάταγμα.

Τα σύρματα ράβονται στους συνδεσμικούς ιστούς που περιβάλλουν την άρθρωση παρακάμπτοντας το οστό , ενώ το κόστος της επέμβασης είναι ελάχιστο και η λειτουργικότητα του άκρου βέλτιστη άμεσα μετεγχειρητικά.

Κλείσιμο
Είναι μια νέα μέθοδος εσωτερικής οστεοσυνθεσης που παρέχει μεγάλη σταθερότητα χωρίς διεγχειρητικές ή μετεγχειρητικές επιπλοκές ενώ ο ασθενης μπορεί να κινήσει αμέσως την άρθρωση του γόνατος και να βαδίσει με την βοήθεια βακτηριών χωρίς νάρθηκα στην άρθρωση του γόνατος.

Παρακάτω φαίνεται το αποτελέσμα της έμβασης που είναι η αποκατάσταση του εκτατικού μηχανισμού του γόνατος , της αρθρικής επιφάνειας της επιγονατίδας και του χόνδρου που την καλύπτει , σημαντικοί παράμετροι για την σωστή και ανώδυνη λειτουργεία του γόνατος μελλοντικά.

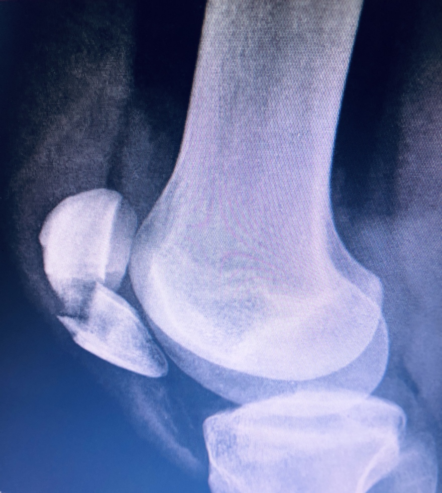
Δείτε ακτινογραφίες πριν την επέμβαση: 

Τζάνειο νοσοκομείο: Νέα μέθοδος για την αντιμετώπιση συντριπτικών καταγμάτων της επιγονατίδας
Τζάνειο νοσοκομείο: Νέα μέθοδος για την αντιμετώπιση συντριπτικών καταγμάτων της επιγονατίδας

Δείτε ακτινογραφίες μετά την επέμβαση:

Ακολουθήστε το protothema.gr στο Google News και μάθετε πρώτοι όλες τις ειδήσεις

Δείτε όλες τις τελευταίες Ειδήσεις από την Ελλάδα και τον Κόσμο, τη στιγμή που συμβαίνουν, στο Protothema.gr

ΡΟΗ ΕΙΔΗΣΕΩΝ

Ειδήσεις Δημοφιλή Σχολιασμένα
δειτε ολες τις ειδησεις

ΤΑ ΠΙΟ ΔΗΜΟΦΙΛΗ

Best of Network

Δείτε Επίσης