Πώς μπορούμε να ψηλώνουμε σε κάθε ηλικία

Πώς μπορούμε να ψηλώνουμε σε κάθε ηλικία

Η επιστήμη έχει τις λύσεις. Η διακεκριμένη χειρουργός ορθοπαιδικός κ. Άννα Λεντή παρουσιάζει την μέθοδο

Πώς μπορούμε να ψηλώνουμε σε κάθε ηλικία
Πώς μπορούμε να ψηλώνουμε σε κάθε ηλικία
                Όσο και αν οι γίγαντες τις ιστορίας όπως ο Μέγας Αλέξανδρος ,  ο Μέγας Ναπολέων , ο Μαχάτμα Γκάντι παρότι υστερούσαν σε ύψος, όσο και αν σύμφωνα με τον Φρόυντ η ανατομία  είναι πεπρωμένο, η επιστήμη δεν το έβαλε κάτω ! Και αυτό γιατί όταν είμαστε κάτω απο 1,65 ... φταίνε τα γονιδια μας και αναζητούμε τροπο να ξεφύγουμε από την μονοτονία της κληρονομικότητας. 
Η επιστήμη έχει την απάντηση και ππορούμε να "ορθώσουμε το ανάστημά μας" με μία εξειδικευμένη επέμβαση στα οστά των κάτω άκρων. Τά μοναδικά προπβλήματα είναι ότι πρέπει να βγάλουμε καινούργια ταυτοτητα και να μακρύνουμε τα παντελόνια μας.

Η διακεκριμένη χειρουργός ορθοπαιδικός Αννα Λεντή
εξηγεί την μέθοδο:
 
Ερώτηση: Κυρία Λεντή τελικά ισχυει; Μπορουμε να προσθεσουμε πόντους στο ύψος μας;

Κλείσιμο

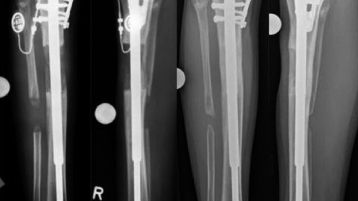
 Αννα Λεντή: Και βέβαια μπορούμε . Και μπορούμε χάρη στην τεχνική της οστικής επιμήκυνσης  που αποτελεί μία από τις εφαρμογές της Διατατικής Οστεογένεσης. Βασίστηκε στην παρατήρηση ότι εάν ένα οστό υποστεί οστεοτομία, δηλαδή «σπάσει» ελεγχόμενα στο χειρουργείο και τα άκρα του απομακρυνθούν το ένα από το άλλο με έναν σταθερό ρυθμό, της τάξης του 1 χιλιοστού την ημέρα, τότε στο «κενό » δημιουργείται νέο οστό.



 
Ερώτηση: Πόσο επιτρέπει αυτή η μέθοδος της επιμήκυνσης  των άκρων να ψηλώσει κάποιος;

Αννα Λεντή: Το συνολικό ύψος που μπορεί να κερδίσει κάποιος μετά από δύο επεμβάσεις είναι 14.5 εκατοστά ( 8 εκατοστά  από τους μηρούς και 6.5 εκατοστά από τις κνήμες. Αν και το σύστημα μπορεί να ξεπεράσει τα παραπάνω όρια,  εντούτοις είναι δύσκολο να γίνει ανεκτό από το οστό και τα μαλακά μόρια του κάτω άκρου τα οποία στις περισσότερες περιπτώσεις είναι αυτά που τελικά βάζουν τα όρια. Οι κίνδυνοι αυξάνουν όσο αυξάνει το μήκος που ζητάμε. Μέχρι 5cm θεωρείται χαμηλού κινδύνου . Μεταξύ 5-8 cms θεωρείται μέσου και πάνω από 8cms υψηλού κινδύνου μιλώντας πάντα για ένα οστό τη φορά, κνήμη ή μηρό. Έτσι για να πετύχουμε επιμήκυνση 10cms είναι πιο ασφαλές να επιμηκύνουμε 5cms τον μηρό και 5cms την κνήμη.




Ερώτηση: μπορείτε να μας δώσετε μια πρώτη εικόνα της διαδικασίας;

 Άννα Λεντή: αρχικά όπως αναφέραμε δημιουργούμε ένα ελεγχόμενο κάταγμα στο οστό που θέλουμε να επιμηκύνουμε . Ακολουθεί μια διαδικασία δύο φάσεων.  Στη πρώτη φάση  γίνεται η αύξηση του μήκους και αφού φτάσουμε στο επιθυμητό μήκος οστού,  ακολουθεί μία νέα περίοδος αναμονής, κατά την οποία το νέο οστό αποκτά Μηχανική Αντοχή. Στην φάση αυτή , το οστό ΔΕΝ είναι σε θέση να υποστηρίξει το βάρος του ασθενούς για τον λόγο αυτό , το οστό χρειάζεται να υποστηρίζεται από συσκευή ή σύστημα. Εάν η «συσκευή- σύστημα » αφαιρεθεί το οστό θα υποχωρήσει. Το βάρος λοιπόν του ασθενούς, το υποστηρίζει το «σύστημα», ενώ το οστό αναδομείται με την «ησυχία» του.          



 
Ερώτηση: Υπάρχουν πολλές τεχνικές επιμήκυνσης ;
 
 Άννα Λεντή: Ναι υπάρχουν . Η πιο διαδεδομένη τεχνική είναι αυτή κατά την οποία  εφαρμόζεται στον  ασθενή  ένα κυκλικό μεταλλικό εξωτερικό σύστημα ( σύστημα Ilizarov) . Υπάρχουν και πιο σύγχρονες μέθοδοι όπως εξάποδες πλατφόρμες  TSF/SUV ή τεεχνική LOΝ) ενώ απο τα πλέον σύγχρονα συστήματα επιμήκυνσης είναι οι αυτοματοποιημένοι ενδομυελικοί ήλοι ( motorized nails ISKD, FITBONE, PRECICE) που εμφυτεύονται μεςα στον αυλό του οςτού. Η απόφαση για το ποιό σύστημα θα χρησιμοποιηθεί τελικά εξατομικεύεται για κάθε περίπτωση ώστε να επιτευχθεί το επιθυμητό αποτέλεσμα. Οπωσδήποτε οι οικονομικοί λόγοι είναι επίσης ουσιαστικοί , καθώς τα νέα συστήματα είναι αρκετά ακριβά.            


                                  
 
Ερώτηση: Σε πόσο χρόνο μετά την επέμβαση θα είναι σε θέση ο ασθενής να επιστρέψει στις κανονικές δραστηριότητες του;
 
 Αννα Λεντή: Εξαρτάται απο το πόσο ύψος θέλουμε να πάρουμε αλλά και απο άλλους παράγοντες . Πάντως για  κάθε εκατοστό επιμήκυνσης, υπολογίζεται , κατά προσέγγιση, ότι απαιτείται συνολικός χρόνος θεραπείας: 7ημέρες αναμονής+ 45 ημέρες ανά εκατοστό επιμήκυνσης (δείκτης επιμήκυνσης) . Στο τέλος του χρόνου αυτού και μετά την αφαίρεση της συσκευής, το οστό τοποθετείται στον γύψο επί ένα μήνα, για προστασία. Ας πούμε για  επιμήκυνση 5 εκατοστών απαιτούνται περίπου οκτώμισι μήνες. Η επιστροφή στις κανονικές του δραστηριότητες θα εξαρτηθεί απο την μέθοδο που εφαρμόζεται , την πορεία της επιμήκυνσης και το είδος βέβαια των δραστηριοτήτων . Διαβάστε περισσότερα εδώ
 
Ερώτηση: Πονάει ο ασθενής καθώς ψηλώνει ;
 
 Άννα Λεντή:Υπάρχει κάποιου βαθμού πόνος κατά την διάρκεια της επιμήκυνσης του άκρου όμως οι περισσότερες περιπτώσεις αντιμετωπίζονται με παυσίπονα και ο ασθενής συνεχίζει την θεραπεία του χωρίς προβλήματα.  Οι νέες τεχνικές κατά τις οποίες εφαρμόζονται εσωτερικές συσκευές ( αυτοδιατεινόμενοι ήλοι) φαίνεται ότι πονάνε λιγότερο .Πάντως δεν υπάρχουν τελείως ανώδυνες επεμβάσεις .

Ερώτηση: Ποιά άτομα ζητούν συνήθως αυτήν την επέμβαση ;
 
Άννα Λεντή: Η πλειοψηφία των ατόμων που ζητούν να υποβληθούν σε αυτήν την επέμβαση  είναι συνήθως άτομα που νοιώθουν άβολα με την εικόνα του σώματός τους. Η εικόνα για το σώμα μας έχει να κάνει με τον τρόπο που αντιλαμβανόμαστε εμείς οι ίδιοι τον εαυτό μας και όχι με αντικειμενικές μετρήσεις και όρια που θέτουν οι επιστήμονες . Έτσι  συχνά υποψήφιος για αυτή την επέμβαση είναι άτομο με  χαμηλό ύψος και μόνιμα δυστυχισμένος σε σχέση με το ύψος του, ενώ σε σχέση με τους υπόλοιπους τομείς της ζωής του είναι ευτυχής και ισορροπημένος. Σε κάποια επίσης από αυτά τα άτομα το  χαμηλό ανάστημα έχει αντίκτυπο στην καθημερινότητά τους. Έτσι  άτομα χαμηλού ύψους μπορεί να αναζητήσουν  βοήθεια από τον εξειδικευμένο ορθοπαιδικό λόγω των λειτουργικών περιορισμών που έχουν στην καθημερινότητα τους όπως ας πούμε η δυνατότητα να οδηγήσουν μεγάλη μοτοσυκλέτα.

Ερώτηση: Μπορείτε να μας καθησυχάσετε… και να μας πείτε ποιά είναι τα φυσιολογικά όρια του ύψους των ενηλίκων ;

 Άννα Λεντή: Τα κατώτερα όρια αυτού που ονομάζουμε φυσιολογικό  ύψος είναι για την Καυκάσια φυλή 166 cm για τους άντρες και 153 cm για τις γυναίκες . Είναι συνήθως οι άνθρωποι  που με βάση τις καμπύλες ανάπτυξης του ύψους, βρίσκονται κάτω από το 5 τις εκατό για την ηλικία και το φύλο τους .

Ερώτηση: Υπάρχει κάποιο όριο στο ύψος του ασθενούς  πάνω από το οποίο η αύξηση του ύψους δεν είναι εφαρμόσιμη ;

                    Άννα Λεντή: Σύμφωνα με την προηγούμενα δεδομένα η απάντηση είναι όχι πρακτικά. Η απόφαση εναπόκειται στην αντίληψη του χειρουργού για την αναγκαιότητα της επέμβασης και όχι σε κάποια αντικειμενικά κριτήρια. Αυτό που μετράει περισσότερο  στις περιπτώσεις αυτές είναι όπως αναφέραμε πριν, η αντίληψη του ασθενούς για το σώμα  του. Σε σχέση πάντως με τους κινδύνους της επέμβασης αυτοί είναι ίδιοι για όποιο ύψος και αν μιλάμε και δεν αυξάνονται στους πιο ψηλούς ασθενείς .

Ερώτηση: Είναι επικίνδυνη η επέμβαση επιμήκυνσης ;
 
 Άννα Λεντή: Η τεχνική της επιμήκυνσης των οστών εφαρμόζεται εδώ και πολλά χρόνια και οι κίνδυνοι είναι πολύ λιγότεροι με την εξέλιξη της τεχνικής. Όλες οι επεμβάσεις όμως έχουν κάποιο βαθμό κινδύνου και δυνητικές επιπλοκές διαφορετικής βαρύτητας.  Μερικές από αυτές τις επιπλοκές θα απαιτήσουν συμπληρωματικά χειρουργεία, ενώ η πλειοψηφία τους απαιτεί, απλά μέτρα και ειδικού τύπου φυσιοθεραπεία, για να αντιμετωπισθούν. Είναι καλό, ο ασθενής να είναι ενημερωμένος για αυτές, γιατί έχει αποδειχθεί ότι τις αντιμετωπίζει με μεγαλύτερη ψυχραιμία και πνεύμα συνεργασίας  όταν συμβούν.

Ερώτηση:  Εχετε αρνηθεί να χειρουργήσετε ασθενή που ήθελε να ψηλώσει;

Άννα Λεντή: Ναι το έχω κάνει. Κοιτάξτε να δείτε υπάρχουν κάποιοι άνθρωποι που πάσχουν  από δύσμορφοφοβία. Δύσμορφοφοβία είναι μια κατάσταση που ταλαιπωρεί τον ασθενή , ο οποίος χαρακτηρίζεται απο μονομανία με ένα φανταστικό  η υπερβολικά μεγαλοποιημένο ελάττωμα στην εμφάνισή του . Οι ασθενείς αυτοί καταφεύγουν σε αισθητικές επεμβάσεις προκειμένου να διορθώσουν μια υποκειμενικά αντιληπτή κατάσταση. Γι αυτό και πρέπει  να αποκλείονται ή τουλάχιστον να μην ενθαρρύνονται για τέτοιες επεμβάσεις . Επίσης Ασθενείς ηλικίας άνω των 60 ετών , ασθενείς με οστεοπόρωση , οι παχύσαρκοι και οι βαρείς καπνιστές είναι ασθενείς που πρέπει επίσης να αποκλείονται από τέτοιες επεμβάσεις .

Τέλος είναι σημαντικό να πούμε ότι η αύξηση του ύψους για άτομα που το ύψος τους είναι στα κατώτερα φυσιολογικά όρια , γίνεται πρωταρχικά για κοσμητικούς λόγους και δεν βελτιώνει την λειτουργικότητας τους . Φαίνεται να βελτιώνει την σωματική ,εξωτερική δηλαδή εικόνα των ασθενών με αυτό που καλούμε καμιά φορά  νεύρωση των κοντών ατόμων . Για εμάς τους ορθοπαιδικούς βέβαια το πρώτο μας μέλημα είναι η λειτουργικότητα και μετά η αισθητική .
 
Η Άννα Λεντή είναι χειρουργός Ορθοπαιδικός (Φιλικής εταιρίας 55 , Πειραιάς)
με μετεκπαίδευση και εξειδικευση στο Nottingham university Hospital , στη Μ. Βρετανία,
συνεργάτης του Ιατρικού κέντρου Αθηνών

Ακολουθήστε το protothema.gr στο Google News και μάθετε πρώτοι όλες τις ειδήσεις

Δείτε όλες τις τελευταίες Ειδήσεις από την Ελλάδα και τον Κόσμο, τη στιγμή που συμβαίνουν, στο Protothema.gr

ΡΟΗ ΕΙΔΗΣΕΩΝ

Ειδήσεις Δημοφιλή Σχολιασμένα
δειτε ολες τις ειδησεις

ΤΑ ΠΙΟ ΔΗΜΟΦΙΛΗ

Best of Network

Δείτε Επίσης