Αποκαλυπτική μελέτη για την κοκαΐνη: Πώς μετατρέπει σε... κανίβαλους τα εγκεφαλικά κύτταρα!

Αποκαλυπτική μελέτη για την κοκαΐνη: Πώς μετατρέπει σε... κανίβαλους τα εγκεφαλικά κύτταρα!

Αμερικανοί ερευνητές διαπίστωσαν ότι ακόμη και πολύ μικρές δόσεις κοκαΐνης προκαλούν «κανιβαλιστική» συμπεριφορά στα νευρικά κύτταρα

Αποκαλυπτική μελέτη για την κοκαΐνη: Πώς μετατρέπει σε... κανίβαλους τα εγκεφαλικά κύτταρα!
H απόλυτα καταστροφική φύση της κοκαΐνης αποτυπώνεται σε ακόμη μια μελέτη. 

Η εθιστική διεγερτική κοκαΐνη κατηγορίας Α οδηγεί, όπως αποκαλύπτεται, τα νευρικά κύτταρα του εγκεφάλου να «τρώνε» τον εαυτό τους, ακόμη και όταν πρόκειται για πολύ μικρές δόσεις λήψης της ναρκωτικής ουσίας.

Η έννοια της αυτοφαγίας

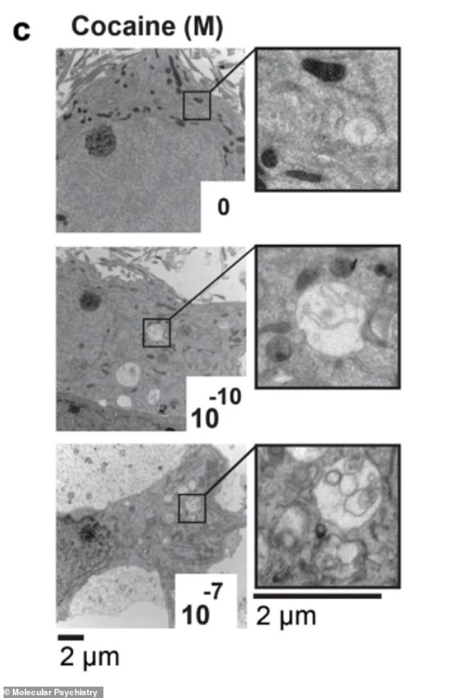
Οι Αμερικανοί ερευνητές διαπίστωσαν ότι οι «υπονονομοριακές» δόσεις κοκαΐνης, σε συγκεντρώσεις μικρότερες από το ένα δισεκατομμύριο μοριακού, προκαλούν «κανιβαλιστική» συμπεριφορά στα νευρικά κύτταρα.

Όπως διαπιστώθηκε με πειράματα σε ποντίκια εντός του εργαστηρίου, οι νευρώνες συμμετέχουν σε μια διαδικασία που ονομάζεται αυτοφαγία.

Οι ειδικοί από το Πανεπιστήμιο John Hopkins βρήκαν προηγουμένως υψηλές δόσεις κοκαΐνης που σκοτώνουν τα εγκεφαλικά κύτταρα προκαλώντας υπερδραστήρια αυτοφαγία.

Αποκαλυπτική μελέτη για την κοκαΐνη: Πώς μετατρέπει σε... κανίβαλους τα εγκεφαλικά κύτταρα!


Πώς οι μικρές δόσεις κοκαΐνης σκοτώνουν τα εγκεφαλικά κύτταρα

Η νέα μελέτη αποκαλύπτει ωστόσο πώς οι μικρές δόσεις κοκαΐνης, τόσο χαμηλής συγκέντρωσης σε νανογραμμομοριακές της τάξης του 0,1,  προκαλούν αυτοφαγία, η οποία συμβάλλει στη διεγερμένη κινητική δραστηριότητα.

«Η κοκαΐνη προκαλεί αυτοφαγία σε πολύ μεγάλο βαθμό», τονίζουν οι ερευνητές της Ιατρικής Σχολής του Πανεπιστημίου Johns Hopkins στη μελέτη τους, που δημοσιεύθηκε στο ακαδημαϊκό περιοδικό Molecular Psychiatry.

Κλείσιμο
Αποκαλυπτική μελέτη για την κοκαΐνη: Πώς μετατρέπει σε... κανίβαλους τα εγκεφαλικά κύτταρα!


«Στην παρούσα μελέτη, δείχνουμε ότι η κοκαΐνη, σε μη τοξικές υπονονομοριακές συγκεντρώσεις, προκαλεί αυτοφαγία στους νευρώνες. Έχουμε δείξει προηγουμένως ότι τα τοξικά επίπεδα κοκαΐνης προκαλούν αυτοφαγικό νευρωνικό κυτταρικό θάνατο. Εδώ, δείχνουμε ότι οι υπονονομοριακές συγκεντρώσεις κοκαΐνης προκαλούν νευρική αυτοφαγία», συμπληρώνουν.

Όλα τα κύτταρα του σώματος μπορούν να σκοτωθούν από τοξίνες, τραύμα ή ακραίες θερμοκρασίες και επίσης υποβάλλονται σε προγραμματισμένο θάνατο μέσω ορισμένων μηχανισμών. 

Σε ένα μέσο ανθρώπινο σώμα, περίπου 60 δισεκατομμύρια κύτταρα πεθαίνουν καθημερινά από πργραμματισμένο κυτταρικό θάνατο.

Ωστόσο, η κοκαΐνη, επιταχύνει σε τρομακτικό βαθμό της διαδικασία θανάτωσης.

Ειδήσεις σήμερα 

Κορωνοϊός: Στα 1.070 τα νέα κρούσματα - Τα 533 στην Αττική 

Κεραμέως για σχολεία: Καμία εισήγηση από τους ειδικούς για κλείσιμο 

Κορωνοϊός: Εισαγγελική έρευνα για το κορωνοπάρτι μέσα στη ΓΑΔΑ 
Ακολουθήστε το protothema.gr στο Google News και μάθετε πρώτοι όλες τις ειδήσεις

Δείτε όλες τις τελευταίες Ειδήσεις από την Ελλάδα και τον Κόσμο, τη στιγμή που συμβαίνουν, στο Protothema.gr

ΡΟΗ ΕΙΔΗΣΕΩΝ

Ειδήσεις Δημοφιλή Σχολιασμένα
δειτε ολες τις ειδησεις

ΤΑ ΠΙΟ ΔΗΜΟΦΙΛΗ

Best of Network

Δείτε Επίσης