ΗΠΑ: 17χρονος ζήτησε να κάνει επέμβαση... μείωσης του πέους του!

ΗΠΑ: 17χρονος ζήτησε να κάνει επέμβαση... μείωσης του πέους του!

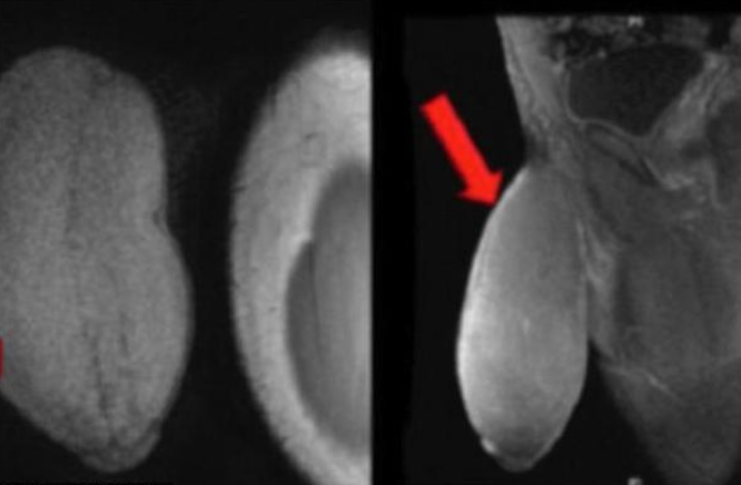
Οι γιατροί στο πανεπιστημιακό νοσοκομείο της Φλόριδας έμειναν άναυδοι όταν ένας έφηβος τους ζήτησε να υποβληθεί σε επέμβαση για να μειωθεί το μέγεθος του πέους του...

ΗΠΑ: 17χρονος ζήτησε να κάνει επέμβαση... μείωσης του πέους του!
Ο ουρολόγος Rafael Carrion έμεινε εμβρόντητος όταν τον επισκέφθηκε ένας 17χρονος νεαρός και του ζήτησε να τον υποβάλει σε χειρουργική επέμβαση μείωσης του πέους του. Ο γιατρός από το πανεπιστημιακό νοσοκομείο στη νότια Φλόριδα είχε ακούσει μέχρι σήμερα άντρες να ζητούν μεγέθυνση πέους, αλλά όπως ο ίδιος ανέφερε, θα πρέπει να είναι η πρώτη φορά στον κόσμο που ένας άντρας ζητά κάτι παρόμοιο...



Ο έφηβος είχε πέος μήκους 18 εκατοστά αλλά η περιφέρειά του πέους του ήταν αυτή που έκανε την διαφορά, με διάμετρο 25,5 εκατοστά, έμοιαζε με μπάλα του ράγκμπι, σύμφωνα με τον ουρολόγο και εμπόδιζε τον 17χρονο να αθλείται, αλλά και να έχει σεξουαλικές επαφές.

Κλείσιμο
Η ζωή του 17χρονου είχε γίνει εξαιρετικά δύσκολη, όπως ο ίδιος εξομολογήθηκε στους γιατρούς, αφού εξαιτίας αυτού του μεγέθους δεν μπορούσε να έχει στύση λόγω του περιορισμού της φυσικής ροής του αίματος αλλά και επειδή ό,τι ρούχα και να φορούσε το πέος του ξεχώριζε.

Ο 17χρονος υπεβλήθη σε επιτυχή επέμβαση μείωσης πέους και η περίπτωσή του δημοσιεύθηκε στο ιατρικό περιοδικό Journal of Sexual Medicine, στο οποίο οι επιστήμονες δηλώνουν ότι είναι η πρώτη φορά στον κόσμο που αντιμετώπισαν παρόμοια περίπτωση.
Ακολουθήστε το protothema.gr στο Google News και μάθετε πρώτοι όλες τις ειδήσεις

Δείτε όλες τις τελευταίες Ειδήσεις από την Ελλάδα και τον Κόσμο, τη στιγμή που συμβαίνουν, στο Protothema.gr

ΡΟΗ ΕΙΔΗΣΕΩΝ

Ειδήσεις Δημοφιλή Σχολιασμένα
δειτε ολες τις ειδησεις

ΤΑ ΠΙΟ ΔΗΜΟΦΙΛΗ

Δείτε Επίσης