Σαντορίνη: Ευθανασία σε γαϊδουράκι που ανεβοκατέβαινε 588 σκαλιά με παραμορφωμένο πόδι

Σαντορίνη: Ευθανασία σε γαϊδουράκι που ανεβοκατέβαινε 588 σκαλιά με παραμορφωμένο πόδι

Η θλιβερή ιστορία του Τζέιμι που πέρασε όλη τη ζωή του να κουβαλά οικοδομικά υλικά

Σαντορίνη: Ευθανασία σε γαϊδουράκι που ανεβοκατέβαινε 588 σκαλιά με παραμορφωμένο πόδι
Σαντορίνη: Ευθανασία σε γαϊδουράκι που ανεβοκατέβαινε 588 σκαλιά με παραμορφωμένο πόδι
Σε ευθανασία υποβλήθηκε τελικά ένα γαϊδουράκι που ανεβοκατέβαινε τα 588 σκαλιά στο παλιό λιμάνι της Σαντορίνης και κουβαλούσε οικοδομικά υλικά στα βράχια της Καλντέρας.

Ο Σύλλογος Προστασίας Ζώων Σαντορίνης - SAWA, σε ανάρτησή του  πριν από δύο εβδομάδες, αποχαιρέτισε τον Τζέιμι, όπως ήταν το όνομά του, με ένα συγκινητικό μήνυμα στο Facebook, όπου αποκάλυψε την θλιβερή ιστορία του και πώς έφτασε με παραμορφωμένο πόδι πριν ένα χρόνο στις εγκαταστάσεις.

Σαντορίνη: Ευθανασία σε γαϊδουράκι που ανεβοκατέβαινε 588 σκαλιά με παραμορφωμένο πόδι
Σαντορίνη: Ευθανασία σε γαϊδουράκι που ανεβοκατέβαινε 588 σκαλιά με παραμορφωμένο πόδι


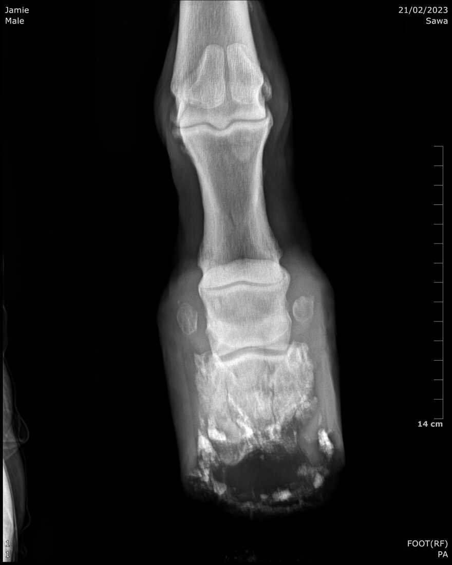
Παρόλο που δεν ήταν τόσο μεγάλος, είχε μια πολύ ιδιαίτερη παραμόρφωση στο πόδι του. Χρειάστηκε μάλιστα, να μεταβεί στη Σαντορίνη και διακεκριμένος κτηνίατρος ιπποειδών από τη Θεσσαλονίκη.

Σαντορίνη: Ευθανασία σε γαϊδουράκι που ανεβοκατέβαινε 588 σκαλιά με παραμορφωμένο πόδι
Η κατάσταση της υγείας του ήταν τόσο άσχημη, που χρειάστηκε να γίνει ευθανασία. «Με απέραντη θλίψη του είπαμε το τελευταίο αντίο και ο κτηνίατρός μας τον βοήθησε να φύγει από τη γη χωρίς άλλους πόνους» αναφέρει ο Σύλλογος.

Αναλυτικά η ανάρτηση του Συλλόγου:

«Το να αποχαιρετάς μερικά από τα πιο ευγενικά και στοργικά πλάσματα που φτάνουν στο καταφύγιο μας είναι μακράν μια από τις πιο δύσκολες αποφάσεις που καλείσαι να πάρεις στην προστασία των ζώων, αλλά ταυτόχρονα είναι το πιο αξιοπρεπές δώρο που μπορείς να τους προσφέρεις όταν δυστυχώς δεν μπορείς να κάνεις τίποτα άλλο για να τα βοηθήσεις ... μόνο να απαλύνεις τον πόνο τους και να είσαι εκεί μαζί τους στο τέλος του ταξιδιού τους.

Αυτή η όμορφη ψυχή που έπρεπε να αποχαιρετήσουμε χθες είναι ο Jamie, παραδόθηκε πριν από σχεδόν ένα χρόνο και παρόλο που δεν ήταν τόσο μεγάλος ήρθε με μια πολύ ιδιαίτερη παραμόρφωση στο πόδι του που δεν είχαμε ξαναδεί. Όλη η ξεκούραση και η ασφάλεια στο καταφύγιο και οι προσπάθειες να απαλύνουμε τον πόνο του δεν έπιασαν τόπο, με τον καιρό και το δεύτερο μπροστινό πόδι να χειροτερεύει. Κάθε βήμα γινόταν με μεγάλη προσπάθεια και αφόρητο πόνο...

Τελικά καταφέραμε να στήσουμε την αποστολή να έρθει αεροπορικώς ένας διακεκριμένος κτηνίατρος ιπποειδών από τη Θεσσαλονίκη με το φορητό ακτινολογικό του μηχάνημα για μια ολόκληρη μέρα. Πάνω από 10 από τα γαϊδουράκια με τις χειρότερες περιπτώσεις ακτινογραφήθηκαν για πρώτη φορά στη ζωή τους... Οι εικόνες αυτές έλεγαν τις ιστορίες τους, απαντούσαν σε ερωτήματα που δεν μπορούσαμε ποτέ πριν να εξηγήσουμε, αποκάλυπταν το σπαρακτικό τίμημα της καταπονημένης ζωής τους και σε πολλές περιπτώσεις την απολύτως απαράδεκτη λανθασμένη χρήση αυτών των ζώων που η φύση τους τα κρατάει να δουλεύουν- κυριολεκτικά- μέχρι να αφήσουν την τελευταία τους πνοή.

Μακράν η πιο θλιβερή διάγνωση ήταν αυτή του Τζέιμι, ο οποίος δεν είναι μια συνηθισμένη ράτσα στην Ελλάδα και το σώμα του δεν είναι καθόλου σχεδιασμένο να αντέξει το διάβα των 588 σκαλοπατιών στο παλιό λιμάνι ούτε το βάρος των οικοδομικών υλικών που έσερνε στα βράχια της Καλντέρας... Με απέραντη θλίψη του είπαμε χθες το τελευταίο αντίο και ο κτηνίατρός μας τον βοήθησε να φύγει από τη γη χωρίς άλλους πόνους. Σε μια φωτογραφία που είναι ίσως η πιο δύσκολη να την κοιτάξεις βλέπεις τους φίλους του να τον ακολουθούν καθώς τον παίρναμε για ταφή.

Τα γαϊδουράκια και τα μουλάρια μας έχουν διδάξει ξανά και ξανά τις υπέρτατες αξίες της αληθινής φιλίας και της συμπόνιας. Πέρα από το φύλο, την ηλικία ή το είδος θα δεθούν με άλλους που έχουν ανάγκη και θα μείνουν μαζί τους μέχρι το τέλος. Παρόλα αυτά πρέπει να συνεχίσουμε για τους υπόλοιπους που έχουν ανάγκη και πλέον γνωρίζουμε ότι κάποιες περιπτώσεις είναι πιο ήπιες και μπορούν να βοηθηθούν μέχρι ενός σημείου. Και φυσικά υπάρχουν και άλλες που θα πρέπει να στήσουμε μια μεγάλη επιχείρηση για να τις βοηθήσουμε. Θα σας κρατήσουμε ενήμερους σύντομα σχετικά με αυτές τις περιπτώσεις. Προς το παρόν μπορούμε μόνο να φανταστούμε τον Jamie να περνάει τη γέφυρα του ουράνιου τόξου και να τρέχει για άλλη μια φορά χωρίς να υποφέρει όπως όταν ήταν νέος και "ακομπλεξάριστος"... Σε ευχαριστούμε Jamie που ήρθες στη ζωή μας, έστω και για λίγο, δεν θα ξεχαστείς ποτέ
».

Κλείσιμο
Σαντορίνη: Ευθανασία σε γαϊδουράκι που ανεβοκατέβαινε 588 σκαλιά με παραμορφωμένο πόδι


Δείτε βίντεο: Σαντορίνη: Ευθανασία σε γαϊδουράκι που ανεβοκατέβαινε 588 σκαλιά με παραμορφωμένο πόδι
Σαντορίνη: Ευθανασία σε γαϊδουράκι που ανεβοκατέβαινε 588 σκαλιά με παραμορφωμένο πόδι



Ειδήσεις σήμερα:

Eκλεισε η εξαγορά της Credit Suisse από τη UBS - Ανακοινώθηκε από την ελβετική κυβέρνηση

Ξάνθη: Αν πειράξετε την οικογένειά μου θα σας σκοτώσω όλους, λέει ο δολοφόνος του 45χρονου - Βίντεο

Τρίκαλα: Οικογενειακή φίλη φέρεται να έκλεισε το «ροζ» ραντεβού της 17χρονης με τον 84χρονο
Ακολουθήστε το protothema.gr στο Google News και μάθετε πρώτοι όλες τις ειδήσεις

Δείτε όλες τις τελευταίες Ειδήσεις από την Ελλάδα και τον Κόσμο, τη στιγμή που συμβαίνουν, στο Protothema.gr

ΡΟΗ ΕΙΔΗΣΕΩΝ

Ειδήσεις Δημοφιλή Σχολιασμένα
δειτε ολες τις ειδησεις

ΤΑ ΠΙΟ ΔΗΜΟΦΙΛΗ

Best of Network

Δείτε Επίσης