Γυναίκα από τον Καναδά γλίτωσε το θάνατο από σφαίρα χάρη στα... πλαστικά στήθη της

Γυναίκα από τον Καναδά γλίτωσε το θάνατο από σφαίρα χάρη στα... πλαστικά στήθη της

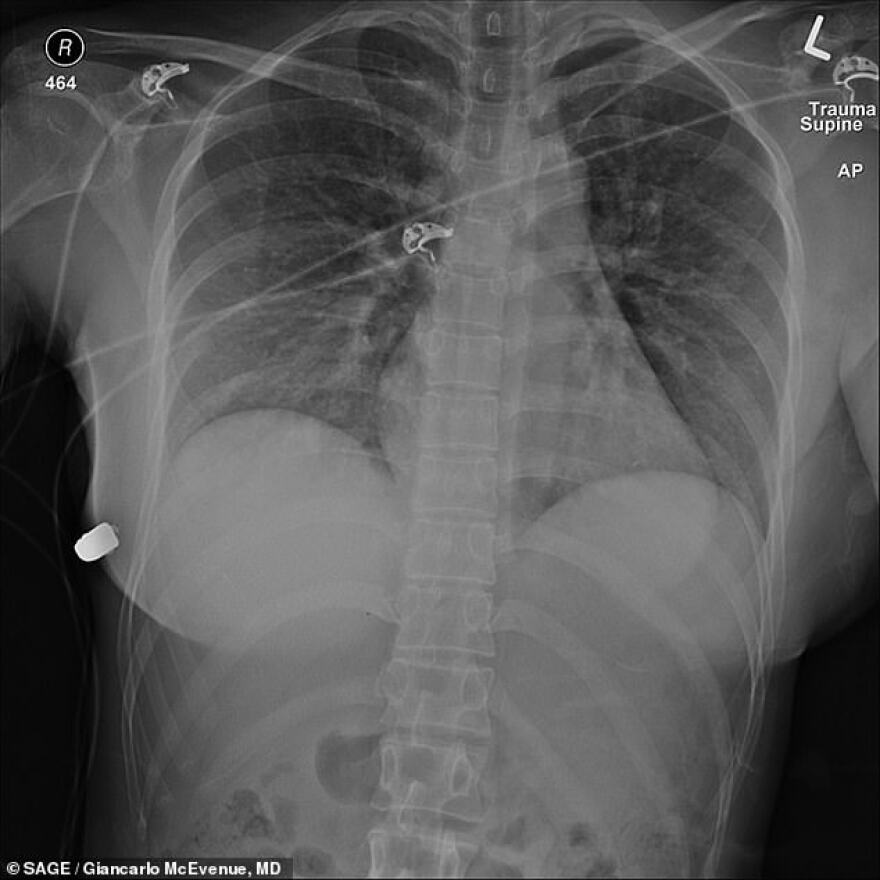
Το εμφύτευμα στήθους άλλαξε τροχιά στη σφαίρα που κατευθυνόταν στην καρδιά της

Γυναίκα από τον Καναδά γλίτωσε το θάνατο από σφαίρα χάρη στα... πλαστικά στήθη της
Σωτήρια αποδείχθηκαν τα ψεύτικα στήθη για μια 30χρονη Καναδή, η οποιά πυροβολήθηκε την ώρα που έκανε βόλτα.

Όπως διαπίστωσαν οι γιατροί που την περιέθαλψαν η σφαίρα που δέχθηκε «εξοστρακίστηκε» χάρη σε ένα από τα εμφυτεύματα στήθους και δεν πέτυχε την καρδιά της.

Οι ακτινογραφίες της 30χρονης έδειξαν την σφαίρα καρφωμένη πάνω στο εμφύτευμα ενώ στην έκθεση που δημοσιεύτηκε στο περιοδικό Sage υπάρχουν και φωτογραφίες με το εμφύτευμα που αφαίρεσαν οι γιατροί.

Γυναίκα από τον Καναδά γλίτωσε το θάνατο από σφαίρα χάρη στα... πλαστικά στήθη της
Γυναίκα από τον Καναδά γλίτωσε το θάνατο από σφαίρα χάρη στα... πλαστικά στήθη της
Γυναίκα από τον Καναδά γλίτωσε το θάνατο από σφαίρα χάρη στα... πλαστικά στήθη της


Οι γιατροί που χειρίστηκαν την υπόθεση δηλώνουν ότι αυτή ήταν η πρώτη φορά που συνάντησαν τέτοιο περιστατικό αλλαγής τροχιάς σφαίρας λόγω εμφυτεύματος σιλικόνης.

Μέχρι σήμερα σε τέσσερα παρόμοια περιστατικά τα εμφυτεύματα σιλικόνης είχαν επιβραδύνει την ταχύτητα της σφαίρας αλλά δεν είχαν αλλάξει την τροχιά της.

Η 30χρονη Καναδή τελικά υπέστη μόνο ένα κάταγμα στα πλευρά από τη σφαίρα.

Κλείσιμο
Από την έρευνα που ακολούθησε προέκυψε ότι το όπλο με το οποίο πυροβολήθηκε η 30χρονη ήταν «καθαρό» ενώ ο δράστης παραμένει άγνωστος.

Ειδήσεις σήμερα

Διευθυντής CDC ΗΠΑ: Το δεύτερο κύμα της πανδημίας ίσως είναι πιο θανατηφόρο

Προκλητική απάντηση της Τουρκίας: Η Ελλάδα επιδεικνύει τις μη ρεαλιστικές αντιλήψεις και στάσεις της

Time: Τι έκανε σωστά η Ελλάδα και γλίτωσε τα χειρότερα με τον κορωνοϊό
Ακολουθήστε το protothema.gr στο Google News και μάθετε πρώτοι όλες τις ειδήσεις

Δείτε όλες τις τελευταίες Ειδήσεις από την Ελλάδα και τον Κόσμο, τη στιγμή που συμβαίνουν, στο Protothema.gr

ΡΟΗ ΕΙΔΗΣΕΩΝ

Ειδήσεις Δημοφιλή Σχολιασμένα
δειτε ολες τις ειδησεις

ΤΑ ΠΙΟ ΔΗΜΟΦΙΛΗ

Best of Network

Δείτε Επίσης