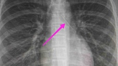
Ανήλικη κατάπιε καρφίτσα στη Θεσσαλονίκη, είχε σταθεί στον αριστερό βρόγχο Η ανήλικη μεταφέρθηκε στο Ιπποκράτειο, υπεβλήθη σε βρογχοσκόπηση και στη συνέχεια οι γιατροί αφσαίρεσαν επιτυχώς την καρφίτσα 31.01.2022, 15:41
Η καρφίτσα που φόρεσε η βασίλισσα Ελισάβετ στη μνήμη του Φίλιππου Την είχε φορέσει στον μήνα του μέλιτος το 1947 και το 2007 στην επέτειο του γάμου τους 25.12.2021, 14:27